世界唐氏综合征日丨预防唐氏 关爱唐氏儿



2025年3月21日
是第14个“世界唐氏综合征日”
今年的活动主题是
“预防唐氏,关爱唐氏儿”
旨在呼吁社会公众
提高唐氏综合征防治意识
为唐氏儿健康成长
营造良好社会支持环境
什么是唐氏综合征?
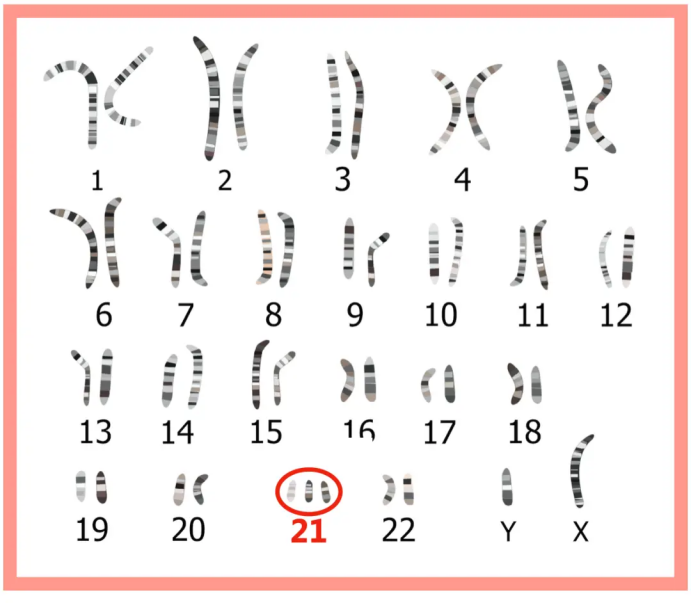
唐氏综合征又称21-三体综合征/先天愚型,是由于多了一条21号染色体而引起的一种先天性疾病,是人类最常见的,也是人类第一个被确认的染色体疾病。多为偶然发生,也可有遗传因素。唐氏综合征是我国发生率最高的出生缺陷之一,是严重致愚致残的出生缺陷疾病,患儿存在严重、不可逆的智力障碍,终生需要照顾。

唐氏综合征的主要表现
面部特征异常是唐氏儿最典型的外部表现,主要为出生时即有明显的特殊面容,如睑裂小、眼距宽、鼻梁低平、耳位低等,常张口伸舌,流涎多。

除了特殊面容,唐氏综合征患儿还会表现出:
1.智力障碍:
大部分患儿存在不同程度的智力障碍,且会随年龄增长而逐渐明显。
2.生长发育迟缓:
出生时身长和体重较正常孩子低,且发育迟缓,唐氏儿中大多男性无生育能力,仅少数女性有生育能力,但其子代染色体异常发病几率高。
3.其他结构畸形:
如:先天性心脏病、生殖器官发育不良、消化道、眼部等多种畸形。
以上种种不仅终生影响患儿生活质量,也会给陪护人员带来巨大的心理压力,给家庭带来巨大的负担!并且,由于唐氏综合征的发生大多数为偶发性,任何夫妻都可能生出唐氏儿,因此,我们必须高度重视!
唐氏综合征致病危险因素

1.年龄因素
1.年龄因素
2.遗传因素
2有生育能力的唐氏综合征患者,其子代发病率高。
3.环境因素
孕早期接触致畸性药物或特殊物质(如磺胺类、放射线、农药、苯等)容易引发染色体变异。
唐氏综合征的产前筛查与诊断

1.唐氏筛查
孕中期(15周~20+6)通过抽取孕妇外周血,检测母体血清中甲胎蛋白、游离绒毛膜促性腺激素(Free-βHCG)和抑制素A等的浓度,并结合孕妇其它资料(包括孕周、体重、年龄等),计算出唐氏儿的危险系数。
2.NT筛查
孕早期(11周~13+6周)对胎儿颈项皮肤透明膜厚度(NT)、静脉导管血流(DV)、鼻骨(NB)等超声指标进行的超声筛查,NT增厚越明显,胎儿异常可能性就越高。孕中期(16周-19+6周)对胎儿颈部皮肤皱褶(NF)等超声指标进行筛查。
3.无创DNA检测
通过采集孕妇外周血提取胎儿游离DNA,采用测序技术,检测胎儿的染色体异常情况。采血时不需要空腹,孕12周即可进行,最佳时间孕12-22+6周。基础版检测范围可检测染色体疾病中最常见的三种,即21三体、18三体、13三体;plus新增了数十种染色体微缺失/微重复综合征。
4.羊水穿刺
羊水穿刺是目前胎儿染色体疾病产前诊断的“金标准”。所有产前筛查高风险的孕妇、预产期年龄大于35周岁的孕妇均建议通过该检查来进行胎儿染色体是否异常的诊断。最佳检测时间:孕18周—22周。
唐氏综合征的预防
● 提倡适龄生育,避免高龄妊娠。
● 科学备孕,孕前3-6月进行孕前检查,改变生活方式、远离有害物质及不良环境,有效补充叶酸。
● 做好孕期保健,常规产检,做好唐氏筛查。
● 唐氏综合征父母再生育唐宝宝的风险高于正常人群,若有生育计划,应到有资质的医疗机构接受遗传咨询,科学安排生育计划。
重点关注人群
(1)有优生遗传咨询需求的人群;
(2)有遗传病或发育畸形、智力低下患者家族史及患者本人;
(3)近亲结婚;
(4)染色体异常者(染色体平衡易位携带者,其他遗传病基因携带者等);
(5)曾生育过多发畸形、智力低下、遗传病患儿的家庭;
(6)复发性流产史、不明原因死胎史;
(7)孕早期病毒感染、用药、不良环境接触情况者;
(8)35岁以上高龄备孕。
泌阳县人民医院围产科温馨提示:
为保证您和宝宝的安全,在孕期建档时,尽可能详细告知医生病史,尤其是有唐氏综合征病史或者夫妻双方有家族遗传史,科学孕育,早检早筛,希望每个家庭都能生出一个健康的宝宝!防患于未然,我们一起努力!
咨询电话:17739693398 0396-7982339
泌阳县人民医院急救电话
0396--7916120

供 稿:围产科
编 辑:宣传科
(网络图片,若侵权,请联系删除)



